Trang thiết bị
Trang thiết bị

Nội dung
Trang thiết bị
Thứ Hai, Tháng Bảy, 2023
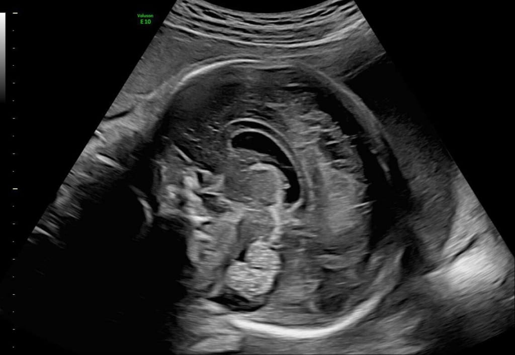
Siêu âm cắt lớp tử cung
Siêu âm cắt lớp tử cung bằng công nghệ máy siêu âm Voluson E10 nhập khẩu từ hãng GE Hoa Kỳ
Trang thiết bị
Thứ Hai, Tháng Bảy, 2023
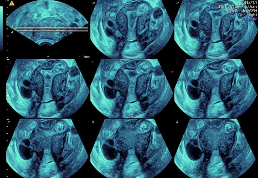
Siêu âm thai nhi 13 tuần tuổi
Siêu âm thai nhi 13 tuần tuổi bằng máy siêu âm Voluson E10 nhập khẩu từ hãng GE Hoa Kỳ
Trang thiết bị
Thứ Hai, Tháng Bảy, 2023
Hiển thị mạch máu 3D
Hiển thị mạch máu 3D bằng công nghệ Radiantflow máy siêu âm Voluson E10 nhập khẩu từ hãng GE Hoa Kỳ
Trang thiết bị
Thứ Hai, Tháng Bảy, 2023
Siêu âm vòng tròn Willis
Siêu âm vòng tròn Willis bằng công nghệ SlowflowHD máy siêu âm Voluson E10 nhập khẩu từ hãng GE Hoa Kỳ
Trang thiết bị
Thứ Hai, Tháng Bảy, 2023
Thai nhi 10 tuần tuổi
Thai nhi 10 tuần tuổi với công nghệ HDlive máy siêu âm Voluson E10 nhập khẩu từ hãng GE Hoa Kỳ
Trang thiết bị
Thứ Hai, Tháng Bảy, 2023
Siêu âm hệ tuần hoàn thai nhi
Siêu âm hệ tuần hoàn của thai nhi 15 tuần tuổi bằng công nghệ HD-Flow máy siêu âm Voluson E10 nhập khẩu từ hãng GE Hoa Kỳ
Trang thiết bị
Thứ Hai, Tháng Bảy, 2023
Hình ảnh 3D thai nhi
Siêu âm 3D thai nhi bằng công nghệ HD-Live cho hình ảnh thai nhi chất lượng rõ nét
Trang thiết bị
Thứ Hai, Tháng Bảy, 2023
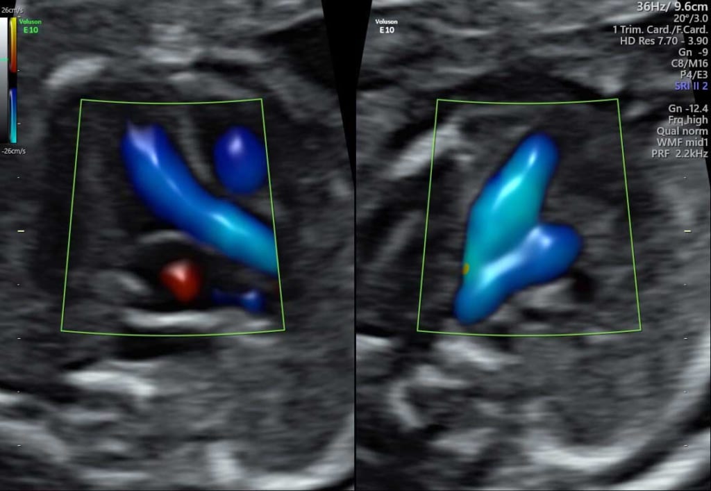
Siêu âm tim thai
Siêu âm sự co bóp của tim thai bằng công nghệ fetalHQ máy siêu âm Voluson E10 nhập khẩu từ hãng GE Hoa Kỳ
Trang thiết bị
Thứ Hai, Tháng Bảy, 2023
Siêu âm vách ngăn trong não thất thai nhi
Siêu âm vách ngăn trong não thất thai nhi bằng công nghệ e4D máy siêu âm Voluson E10 nhập khẩu từ hãng GE Hoa Kỳ
Trang thiết bị
Thứ Hai, Tháng Bảy, 2023
Hình ảnh dây rốn
Hình ảnh dây rốn với công nghệ HDlive Flow máy siêu âm Voluson E10 nhập khẩu từ hãng GE Hoa Kỳ
Trang thiết bị
Thứ Hai, Tháng Bảy, 2023
Siêu âm hệ não thai nhi
Siêu âm hệ não của thai nhi bằng công nghệ HDRes từ máy siêu âm Voluson E10 nhập khẩu từ hãng GE Hoa K
Danh Mục

Chỉnh sửa danh mục Video
Chỉnh sửa bài viết
đăng ký đặt lịch khám ngay để được tư vấn tốt nhất


Việc mang tới dịch vụ chất lượng, môi trường thoải mái cho người bệnh luôn là mục tiêu mà chúng tôi theo đuổi. Trong đó điều mà chúng tôi quan tâm đầu tiên chính là sự an toàn của người bệnh.

"Tất cả vì người bệnh" là phương châm hoạt động của chúng tôi. Đến với Thái Hà bạn sẽ không thấy bản thân bị thờ ơ bởi với bộ 5 chuyên nghiệp (bác sỹ điều trị, bác sỹ phẫu thuật, y tá, trợ lý bác sỹ, nhân viên tiếp đón) chúng tôi tin tưởng có thể mang tới cho bạn sự chăm sóc và quan tâm tận tình.

Với mong muốn mang đến sự thuận tiện và tiết kiệm thời gian cho bệnh nhân. Phòng khám đã cho xây dựng hệ thống các dịch vụ từ tư vấn hướng dẫn, chẩn đoán điều trị tới chăm sóc sau điều trị.

Người bệnh bao giờ cũng cảm thấy khó chịu và bức bối trong cơ thể. Hiểu được điều đó nên chúng tôi rất chú trọng tới cảm nhận từng người bệnh tìm đến với mình. Từ sảnh lớn tới những góc nhỏ ở phòng khám đều được chúng tôi tỉ mỉ thiết kế với hy vọng có thể mang không gian thoải mái, tiện nghi và ấm cúng tới cho từng người bệnh
Phản hồi khách hàng

Album Ảnh
Album Ảnh

Album Ảnh
Album Ảnh

Album Ảnh
Album Ảnh

Album Ảnh
Album Ảnh

Album Ảnh
Album Ảnh

Album Ảnh
Album Ảnh

Album Ảnh
Album Ảnh

Album Ảnh
Album Ảnh

Album Ảnh
Album Ảnh
BÁC SĨ TƯ VẤN
0982.729.288
tư vấn
Chat cùng bác sĩ
Đăng ký khám
Đặt lịch hẹn khám
Hỗ trợ
Chỉ dẫn đường